Sign in
Sign up
home
>
GeneTex
> GeneTex ER antibody
Estrogen Receptor alpha antibody [1F3]
GeneTex
catalog: GTX70171
mouse monoclonal (1F3)
reactivity:
human
application:
western blot
,
immunoprecipitation
,
FACS
,
immunohistochemistry - frozen section
citations: 3
Sample (30 ug of whole cell lysate) A: MCF7 7.5% SDS PAGE GTX70171 diluted at 1:500
quantity: 100.00μg
price: 299 USD
to the supplier
Estrogen Receptor alpha antibody [6F11]
GeneTex
catalog: GTX29269
mouse monoclonal (6F11)
reactivity:
human
application:
western blot
,
immunohistochemistry - paraffin section
,
immunohistochemistry - frozen section
citations: 1
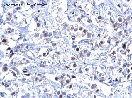
IHC-P analysis of human breast cancer tissue using Estrogen Receptor alpha antibody [6F11]. Heat mediated antigen retrieval using citrate buffer at pH 6.2 (high power) was performed.
WB analysis of MCF-7 lysate using Estrogen Receptor alpha antibody [6F11].
quantity: 250.00μl
price: 369 USD
to the supplier
Estrogen Receptor alpha antibody [N2], N-term
GeneTex
catalog: GTX100634
rabbit polyclonal
reactivity:
human
application:
immunocytochemistry
,
immunohistochemistry - paraffin section
Confocal immunofluorescence analysis (Olympus FV10i) of paraformaldehyde-fixed HeLa, using Estrogen Receptor alpha(GTX100634) antibody (Green) at 1:100 dilution. Alpha-tubulin filaments were labeled with GTX11304 (Red) at 1:2000.
Estrogen Receptor alpha antibody [N2], N-term detects Estrogen Receptor alpha protein at nucleus on human breast carcinoma by immunohistochemical analysis. Sample: Paraffin-embedded human breast carcinoma. Estrogen Receptor alpha antibody [N2], N-term (GTX100634) dilution: 1:500.
quantity: 100.00μl
price: 299 USD
to the supplier
Estrogen Receptor alpha antibody
GeneTex
catalog: GTX50420
rabbit polyclonal
reactivity:
human
,
mouse
application:
western blot
,
immunohistochemistry
,
immunocytochemistry
,
immunohistochemistry - paraffin section
Immunofluorescence staining of methanol-fixed MCF cells using Estrogen Receptor-a(Ab-118) Antibody GTX50420.
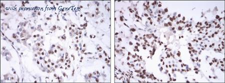
Immunohistochemical analysis of paraffin-embedded human breast carcinoma tissue using Estrogen Receptor-a(Ab-118) Antibody GTX50420 (left) or the same antibody preincubated with blocking peptide(right).
Western blot analysis of extracts from MCF cells using Estrogen Receptor-a(Ab-118) Antibody GTX50420 and the same antibody preincubated with blocking peptide.
quantity: 100.00μl
price: 299 USD
to the supplier
Estrogen Receptor alpha antibody [EPR4097]
GeneTex
catalog: GTX62423
rabbit monoclonal (EPR4097)
reactivity:
human
application:
western blot
,
immunocytochemistry
,
FACS
,
immunohistochemistry - paraffin section
ICC/IF analysis of MCF-7 cells using Estrogen Receptor alpha antibody [EPR4097] at a dilution of 1:200 (green) and DAPI (blue).
IHC-P analysis of human breast tissue using Estrogen Receptor alpha antibody [EPR4097] at a dilution of 1:250. Heat mediated antigen retrieval was performed using Tris/EDTA buffer pH 9. Counterstained with Hematoxylin.
WB analysis of (1) MCF-7 and (2) T47-D lysates (20 ?g per lane) using Estrogen Receptor alpha antibody [EPR4097] at a dilution of 1:2000.
quantity: 100.00μl
price: 329 USD
to the supplier
Estrogen Receptor alpha antibody [6B6]
GeneTex
catalog: GTX82778
mouse monoclonal (6B6)
reactivity:
human
application:
western blot
,
ELISA
,
immunohistochemistry
,
immunocytochemistry
,
immunohistochemistry - paraffin section
Immunofluorescence analysis of Hela cells using ESR1 mouse mAb (GTX82778, green). Red: Actin filaments have been labeled with Alexa Fluor-555 phalloidin
Immunohistochemical analysis of paraffin-embedded mammary cancer tissues using ESR1 mouse mAb (GTX82778) with DAB staining.
Western blot analysis using ESR1 mouse mAb (GTX82778) against MCF-7 (1), T47D (2) and SKBR3 (3) cell lysate.
quantity: 100.00μl
price: 299 USD
to the supplier
Estrogen Receptor alpha antibody [33]
GeneTex
catalog: GTX22746
mouse monoclonal (33)
reactivity:
human
,
mouse
,
rat
application:
western blot
,
immunohistochemistry
,
immunocytochemistry
,
neutralization
,
immunoprecipitation
,
FACS
,
immunohistochemistry - paraffin section
,
immunohistochemistry - frozen section
Western blot analysis of recombinant ER alpha.
quantity: 50.00μg
price: 299 USD
to the supplier