Sign in
Sign up
home
>
GeneTex
> GeneTex Atm antibody
ATM antibody [2C1]
GeneTex
catalog: GTX70103
mouse monoclonal (2C1)
reactivity:
human
,
mouse
,
rat
application:
western blot
,
ELISA
,
immunohistochemistry
,
immunocytochemistry
,
immunoprecipitation
,
FACS
,
immunohistochemistry - paraffin section
citations: 171
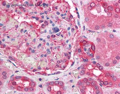
Human Kidney (formalin-fixed, paraffin-embedded) stained with ATM antibody at 5 ug/ml followed by biotinylated anti-mouse IgG secondary antibody, alkaline phosphatase-streptavidin and chromogen.
ATM antibody [2C1] detects ATM protein by Western blot analysis. A. 30 µg NT2D1 whole cell lysate/extract B. 30 µg PC-3 whole cell lysate/extract C. 30 µg SK-N-SH whole cell lysate/extract 5 % SDS-PAGE ATM antibody [2C1] (GTX70103) dilution: 1:1000
Human Testis (formalin-fixed, paraffin-embedded) stained with ATM antibody at 5 ug/ml followed by biotinylated anti-mouse IgG secondary antibody, alkaline phosphatase-streptavidin and chromogen.
quantity: 100.00μg
price: 299 USD
to the supplier
ATM antibody [5C2]
GeneTex
catalog: GTX70107
mouse monoclonal (5C2)
reactivity:
human
,
mouse
,
rat
application:
western blot
,
immunohistochemistry
,
immunocytochemistry
citations: 14
Detection of human ATM protein using GeneTex ATM 5C2 monoclonal antibody (GTX70107) in Raji whole cell extract (lane 1) and T24 syncronized cell lysate (lane 2). Also available 200ug size GTX70108.
quantity: 100.00μg
price: 299 USD
to the supplier
ATM antibody [3E8]
GeneTex
catalog: GTX70105
mouse monoclonal (3E8)
reactivity:
human
,
mouse
,
rat
application:
western blot
,
immunoprecipitation
,
immunohistochemistry - paraffin section
citations: 5
Human Kidney (formalin-fixed, paraffin-embedded) stained with ATM antibody at 5 µg/ml followed by biotinylated anti-mouse IgG secondary antibody, alkaline phosphatase-streptavidin and chromogen.
Sample (30 ug of whole cell lysate) A: 293T B: A431 5% SDS PAGE GTX70105 diluted at 1:1000
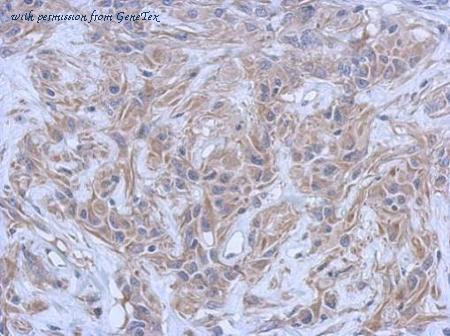
Immunohistochemical analysis of paraffin-embedded U373 xenograft, using ATM(GTX70105) antibody at 1:200 dilution.
quantity: 100.00μg
price: 299 USD
to the supplier
ATM (phospho Ser1981) antibody [10H11]
GeneTex
catalog: GTX15666
mouse monoclonal (10H11)
reactivity:
human
,
mouse
modification: phosphorylated
application:
western blot
,
immunocytochemistry
,
immunoprecipitation
Western blot analysis of Ser1981-phosphorylated ATM in gamma-irradiated HeLa cells.
Immunofluorescent analysis of Ser1981-phosphorylated ATM in control (left panel) or 100 mJ UV-stimulated 293 cells (right panel). Formalin-fixed cells were permeabilized with 0.1% Triton X-100 in TBS for 5-10 minutes at room temperature and blocked with 3% BSA-PBS for 30 minutes at room temperature. Cells were probed with ATM (phospho Ser1981) antibody [10H11] at a dilution of 1:50 and incubated overnight in a humidified chamber. Cells were washed with PBST and incubated with a proper secondary antibody. Nuclei (blue) were stained with DAPI. Images were taken at a 60X magnification.
quantity: 100.00μg
price: 289 USD
to the supplier
ATM (phospho Ser1981) antibody [10H11.E12]
GeneTex
catalog: GTX30636
mouse monoclonal (10H11.E12)
reactivity:
human
,
mouse
,
rat
modification: phosphorylated
application:
western blot
,
immunocytochemistry
,
immunoprecipitation
,
immunohistochemistry - paraffin section
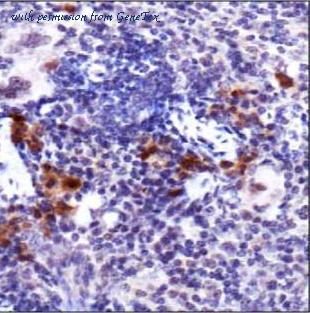
Immunohistochemistry: ATM [p Ser1981] Antibody (10H11.E12) [GTX30636] - ATM antibody was tested in mouse spleen using DAB with hematoxylin counterstain.
Western Blot: ATM [p Ser1981] Antibody (10H11.E12) [GTX30636] - Analysis of ATM-kinase, using GTX30636. Sample: Irradiated or peroxidated human fibroblasts
quantity: 100.00μl
price: 339 USD
to the supplier
ATM antibody
GeneTex
catalog: GTX74213
rabbit polyclonal
reactivity:
human
,
mouse
application:
western blot
,
immunohistochemistry - paraffin section
quantity: 50.00μl
price: 299 USD
to the supplier