mouse monoclonal (OTI10B10)
reactivity: human, mouse, rat
application: western blot
reactivity: human, mouse, rat
application: western blot

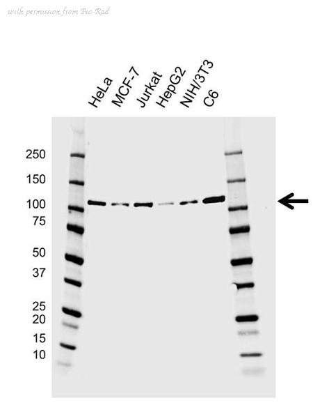
Western blot analysis of whole cell lysates probed with Mouse anti Human EZH2 antibody, clone OTI0B10 ( VMA00276 ) followed by detection with HRP conjugated Goat anti Mouse IgG (1/10,000, STAR207P ) and visualized on the ChemiDoc MP with 299 second exposure. Arrow points to EZH2 (molecular weight 98 kDa)
quantity: 100 µl
price: 314 USD
to the supplier
mouse monoclonal (OTI10B10)
reactivity: human, mouse, rat
application: western blot
reactivity: human, mouse, rat
application: western blot

Western blot analysis of whole cell lysates probed with Mouse anti Human EZH2 antibody, clone OTI0B10 ( VMA00276 ) followed by detection with HRP conjugated Goat anti Mouse IgG (1/10,000, STAR207P ) and visualized on the ChemiDoc MP with 299 second exposure. Arrow points to EZH2 (molecular weight 98 kDa)
quantity: 2 Westerns
price: 108 USD
to the supplier
mouse monoclonal (EF01/1C3.H6.1)
reactivity: human, mouse, rat
application: western blot
reactivity: human, mouse, rat
application: western blot

Western blot analysis of whole cell lysates probed with EZH2 antibody followed by detection with HRP conjugated Goat anti Mouse IgG (1/10,000, STAR207P ) and visualized on the ChemiDoc MP with 77 second exposure. Arrow points to EZH2 (molecular weight 105 kDa)
quantity: 100 µl
price: 314 USD
to the supplier
mouse monoclonal (EF01/1C3.H6.1)
reactivity: human, mouse, rat
application: western blot
reactivity: human, mouse, rat
application: western blot

Western blot analysis of whole cell lysates probed with EZH2 antibody followed by detection with HRP conjugated Goat anti Mouse IgG (1/10,000, STAR207P ) and visualized on the ChemiDoc MP with 77 second exposure. Arrow points to EZH2 (molecular weight 105 kDa)
quantity: 2 Westerns
price: 108 USD
to the supplier
