product summary
company name :
Atlas Antibodies
product type :
antibody
product name :
Anti-ACSL5
catalog :
AMAb90634
quantity :
100 µl
clonality :
monoclonal
host :
mouse
conjugate :
nonconjugated
reactivity :
human
application :
western blot, immunohistochemistry
more info or order :
image
image 1 :

Immunohistochemical staining of human duodenum shows strong cytoplasmic and membrane immunoreactivity in the glandular cells.
image 2 :

Immunohistochemical staining of human colon shows strong positivity in the intestinal glands.
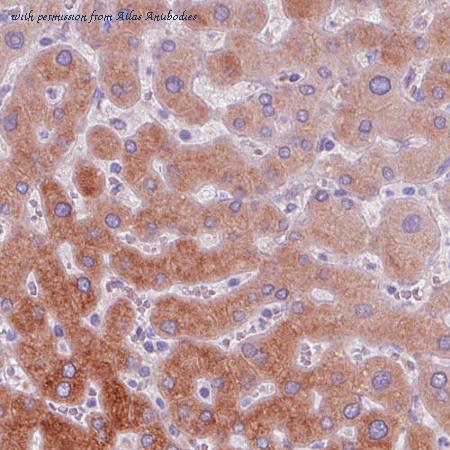
image 3 :

Immunohistochemical staining of human liver shows moderate cytoplasmic immunoreactivity in hepatocytes.
product information
product number :
AMAb90634
product name :
Anti-ACSL5
clone number :
CL0275
ensembl gene id :
ENSG00000197142
gene description :
acyl-CoA synthetase long-chain family member 5
alternative names :
ACS2, ACS5, FACL5
supportive applications :
IHC, WB
clonality :
Monoclonal
category :
Primary
antigen type :
Recombinant Protein Epitope Signature Tag (PrEST) antigen sequence
antigen sequence :
VHIVNKADIAMVICDTPQKALVLIGNVEKGFTPSLKVII
LMDPFDDDLKQRGEKSGIEILSLYDAENLGKEHFRKPVP
PSPEDLSVICFTSGTTGDPK
LMDPFDDDLKQRGEKSGIEILSLYDAENLGKEHFRKPVP
PSPEDLSVICFTSGTTGDPK
epitope specificity :
Binds to an epitope located within the peptide sequence MDPFDDDLKQ as determined by overlapping synthetic peptides.
host animal :
Mouse
species reactivity :
Human
isotype :
IgG1
purification method :
Protein A purified
buffer :
40% glycerol and PBS (pH 7.2). 0.02% sodium azide is added as preservative.
storage :
Store at +4°C for short term storage. Long time storage is recommended at -20°C.
unit :
100 µl
uniprot id :
Q9ULC5
conjugate :
unconjugated
antigen sequence identity mouse :
76
antigen sequence identity rat :
55
more info or order :
company information
Atlas Antibodies
AlbaNova University Center
SE-106 91 Stockholm
SE-106 91 Stockholm
contact@atlasantibodies.com
www.atlasantibodies.com46 8 54 59 58 50
headquarters: Sweden
review
product type
browse more products
questions and comments
