Your Filters
product
- domestic rabbit polyclonal
reactivity: human, mouse, rat
application: western blot, immunohistochemistry - paraffin section - domestic rabbit polyclonal
reactivity: human, mouse, rat
application: western blot, ELISA, immunohistochemistry - domestic rabbit polyclonal
reactivity: human, mouse, rat
application: western blot, immunohistochemistry

Western blot analysis of mouse brain tissue lysate using PA5-20927 anti-ZC3H12B antibody at 1 ug/mL in (A) the absence and (B) the presence of blocking peptide.
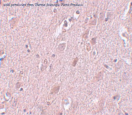
Immunohistochemical staining of human brain tissue using PA5-20927 anti-ZC3H12B antibody at a concentration of 5 ug/mL.
quantity: 100 ug
price: US 454.00
to the supplier
gene information - rat Zc3h12b
- synonym:RGD1560891
- description:zinc finger CCCH-type containing 12B
do you know?
- we limit the listing of re-branded antibodies to provide our visitors with accurate information and the best experience
- we manually curate antibody information from the literature to obtain a comprehensive set of well-validated antibodies.
- we limit citation information for polyclonal antibodies to articles published within the last 5 years because the supply of a particular polyclonal antibody preparation is limited.
product type
- Zc3h12b antibody
linkout
questions and comments

