Your Filters
product
- rabbit polyclonal
reactivity: human, rat
application: western blot, immunohistochemistry - paraffin section
citations: 1 - rabbit polyclonal
reactivity: human, mouse, rat
application: western blot, immunohistochemistry, immunohistochemistry - paraffin section

Immunohistochemistry-Paraffin: FMNL2 Antibody [NBP2-24748] - Analysisof human brain, cortex using this antibody at 10 ug/ml.
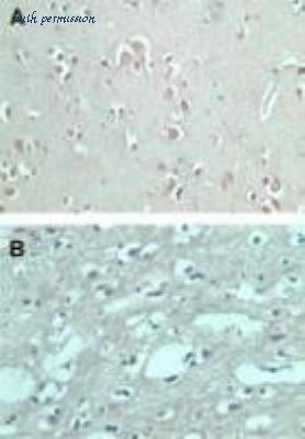
Immunohistochemistry-Paraffin: FMNL2 Antibody [NBP2-24748] - IHC (paraffin) staining normal human brain using this antibody (FMNL2, figure A and control rabbit Ig, figure B) at 6 ug/ml.
Western Blot: FMNL2 Antibody [NBP2-24748] - Analysis of Formin-like protein 2 in whole mouse embryo body tissue lysate in the 1) absence and 2) presence of immunizing peptide using this antibody at 2 ug/ml.
quantity: 0.1 mg (also 0.025 mg)
price: 249 USD
to the supplier - rabbit polyclonal
reactivity: human, mouse, rat
application: western blot, immunohistochemistry, immunohistochemistry - paraffin section - mouse monoclonal (G-8)
reactivity: human, mouse, rat
application: western blot, ELISA, immunocytochemistry, immunoprecipitation - mouse monoclonal (D-3)
reactivity: human, mouse, rat
application: western blot, ELISA, immunohistochemistry, immunocytochemistry, immunoprecipitation, immunohistochemistry - paraffin section
gene information - rat RGD1560248
- synonym:formin-like protein 2
- description:similar to formin-like 2 isoform B
do you know?
- we limit the listing of re-branded antibodies to provide our visitors with accurate information and the best experience
- we manually curate antibody information from the literature to obtain a comprehensive set of well-validated antibodies.
product type
- RGD1560248 antibody
questions and comments


