Your Filters
product
- domestic rabbit polyclonal
reactivity: human, rat
application: western blot, immunohistochemistry, immunohistochemistry - paraffin section
citations: 1

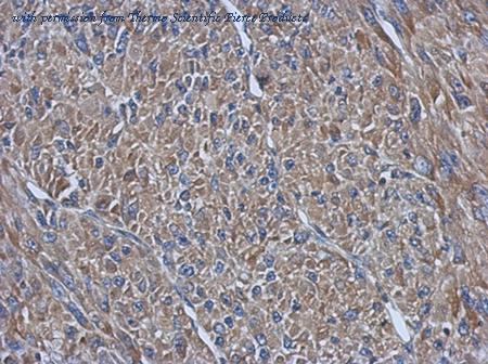
Immunohistochemical analysis of paraffin-embedded U87 xenograft using PRPSAP2 (PA5-31237) antibody at 1:500 dilution.
Immunohistochemical analysis of paraffin-embedded RT2 xenograft using PRPSAP2 (PA5-31237) antibody at 1:500 dilution.
Western Blot analysis of PRPSAP2 using anti-PRPSAP2 Polyclonal Antibody (PA5-31237), in K562 Cell Lysate (30 ug of cell lysate) and at a dilution of 1:1000.
quantity: 100 uL
price: US 464.00
to the supplier - mouse monoclonal (OTI1E3)
reactivity: human, mouse, rat
application: western blot, immunohistochemistry, immunocytochemistry, flow cytometry, immunohistochemistry - paraffin section

Western Blot: PRPSAP2 Antibody (OTI1E3) - Azide and BSA Free [NBP2-73676] - HEK293T cells were transfected with the pCMV6-ENTRY control (Left lane) or pCMV6-ENTRY PRPSAP2 (Right lane) cDNA for 48 hrs and lysed. Equivalent amounts of cell lysates (5 ug per lane) were separated by SDS-PAGE and immunoblotted with anti-PRPSAP2.
quantity: 100 ug
price: 579 USD
to the supplier - mouse monoclonal (OTI1E3)
reactivity: human, mouse, rat
application: western blot, immunohistochemistry, immunocytochemistry, flow cytometry, immunohistochemistry - paraffin section - domestic rabbit polyclonal
reactivity: human, mouse, rat
application: western blot, ELISA, immunohistochemistry, immunohistochemistry - paraffin section
gene information - rat Prpsap2
- synonym:Pap41
- description:phosphoribosyl pyrophosphate synthetase-associated protein 2
do you know?
- we limit the listing of re-branded antibodies to provide our visitors with accurate information and the best experience
- we manually curate antibody information from the literature to obtain a comprehensive set of well-validated antibodies.
- we limit citation information for polyclonal antibodies to articles published within the last 5 years because the supply of a particular polyclonal antibody preparation is limited.
product type
- Prpsap2 antibody
linkout
questions and comments

