Your Filters
product
- domestic rabbit polyclonal
reactivity: human, rat
application: western blot, immunohistochemistry, immunohistochemistry - paraffin section

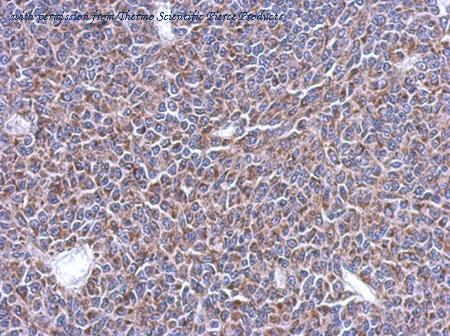
Immunohistochemical analysis of paraffin-embedded RT2 xenograft using MRPL14 (PA5-32095) antibody at 1:500 dilution.
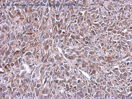
Immunohistochemical analysis of paraffin-embedded BT483 xenograft using MRPL14 (PA5-32095) antibody at 1:500 dilution.
Western Blot analysis of MRPL14 using anti-MRPL14 Polyclonal Antibody (PA5-32095), in Hep G2 Cell Lysate (30 ug of cell lysate) and at a dilution of 1:500.
quantity: 100 uL
price: US 464.00
to the supplier - domestic rabbit polyclonal
reactivity: human, mouse, rat
application: western blot - domestic rabbit polyclonal
reactivity: human, mouse, rat
application: western blot, ELISA, immunohistochemistry
gene information - rat Mrpl14
- synonym:L14mt; L32mt; MRP-L14; MRP-L32
- description:mitochondrial ribosomal protein L14
do you know?
- we limit the listing of re-branded antibodies to provide our visitors with accurate information and the best experience
- we manually curate antibody information from the literature to obtain a comprehensive set of well-validated antibodies.
- we limit citation information for polyclonal antibodies to articles published within the last 5 years because the supply of a particular polyclonal antibody preparation is limited.
product type
- Mrpl14 antibody
linkout
questions and comments

