Your Filters
product
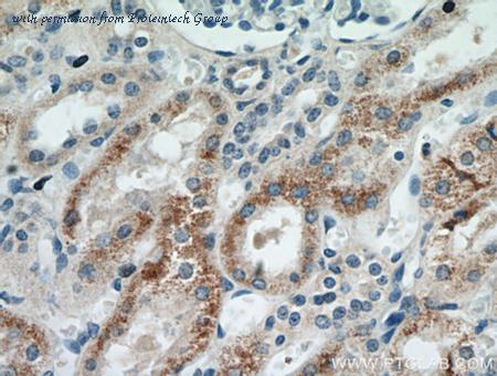
- domestic rabbit polyclonal
reactivity: human, mouse, rat
application: western blot, ELISA, immunohistochemistry
gene information - rat Mogat2
- description:monoacylglycerol O-acyltransferase 2
do you know?
- we limit the listing of re-branded antibodies to provide our visitors with accurate information and the best experience
- we manually curate antibody information from the literature to obtain a comprehensive set of well-validated antibodies.
- we limit citation information for polyclonal antibodies to articles published within the last 5 years because the supply of a particular polyclonal antibody preparation is limited.
product type
- Mogat2 antibody
linkout
questions and comments


