Your Filters
product
- domestic rabbit monoclonal (EPR10274)
reactivity: human, mouse, rat
application: western blot, immunocytochemistry, flow cytometry, immunohistochemistry - paraffin section
citations: 2 - domestic rabbit polyclonal
reactivity: human, rat
application: western blot, immunohistochemistry, immunohistochemistry - paraffin section

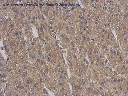
Immunohistochemical analysis of paraffin-embedded U87 xenograft using ARPC5L (PA5-31754) antibody at 1:500 dilution.
Immunohistochemical analysis of paraffin-embedded RT2 xenograft using ARPC5L (PA5-31754) antibody at 1:500 dilution.
Western Blot analysis of ARPC5L using anti-ARPC5L Polyclonal Antibody (PA5-31754), in U87-MG Cell Lysate (30 ug of cell lysate) and at a dilution of 1:1000.
quantity: 100 uL
price: US 454.00
to the supplier
gene information - rat Arpc5l
- description:actin related protein 2/3 complex, subunit 5-like
do you know?
- we limit the listing of re-branded antibodies to provide our visitors with accurate information and the best experience
- we manually curate antibody information from the literature to obtain a comprehensive set of well-validated antibodies.
- we limit citation information for polyclonal antibodies to articles published within the last 5 years because the supply of a particular polyclonal antibody preparation is limited.
product type
- Arpc5l antibody
questions and comments

