Your Filters
product
- domestic rabbit polyclonal
reactivity: human, rat, bovine
application: western blot, immunohistochemistry - paraffin section - domestic rabbit polyclonal
reactivity: human, mouse, rat
application: western blot, ELISA, enzyme immunoassay - domestic rabbit polyclonal
reactivity: human, rat
application: western blot, immunohistochemistry, immunohistochemistry - paraffin section, immunohistochemistry - frozen section

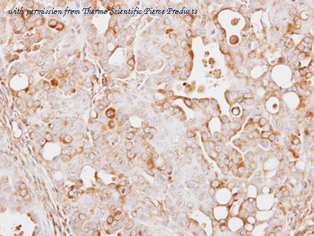
Immunohistochemical analysis of paraffin-embedded N87 xenograft using AMPD2 (PA5-29518) antibody at 1:500 dilution.
Western Blot analysis of AMPD2 using anti-AMPD2 Polyclonal Antibody (PA5-29518), in Hela Cell Lysate (30 ug of cell lysate) and at a dilution of 1:1000.
quantity: 100 uL
price: US 464.00
to the supplier - domestic rabbit polyclonal
reactivity: human, mouse, rat
application: western blot, immunocytochemistry - domestic rabbit polyclonal
reactivity: human, rat
application: western blot, immunohistochemistry, immunohistochemistry - paraffin section, immunohistochemistry - frozen section
gene information - rat Ampd2
- synonym:Ampd
- description:adenosine monophosphate deaminase 2
do you know?
- we limit the listing of re-branded antibodies to provide our visitors with accurate information and the best experience
- we manually curate antibody information from the literature to obtain a comprehensive set of well-validated antibodies.
- we limit citation information for polyclonal antibodies to articles published within the last 5 years because the supply of a particular polyclonal antibody preparation is limited.
product type
- Ampd2 antibody
linkout
questions and comments


