Your Filters
product
- domestic rabbit polyclonal
reactivity: human, mouse
application: western blot, immunohistochemistry, immunohistochemistry - paraffin section

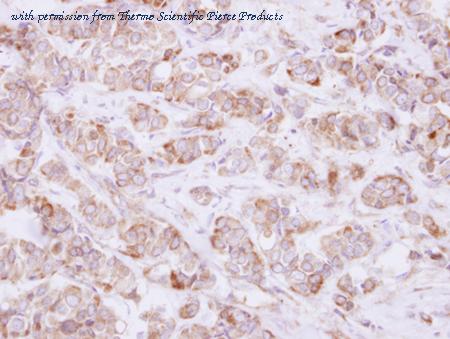
Immunohistochemical analysis of paraffin-embedded Breast ca using USP46 (PA5-31074) antibody at 1:500 dilution.
Western Blot analysis of USP46 using anti-USP46 Polyclonal Antibody (PA5-31074), in Hep G2 Cell Lysate (30 ug of cell lysate) and at a dilution of 1:500.
quantity: 100 uL
price: US 464.00
to the supplier - domestic rabbit polyclonal
reactivity: human, mouse
application: ELISA, immunohistochemistry, immunohistochemistry - paraffin section - domestic rabbit polyclonal
reactivity: human, mouse, rat
application: western blot, immunohistochemistry, immunohistochemistry - paraffin section
gene information - mouse Usp46
- synonym:1190009E20Rik; 2410018I08Rik; AI451644
- description:ubiquitin specific peptidase 46
do you know?
- we limit the listing of re-branded antibodies to provide our visitors with accurate information and the best experience
- we manually curate antibody information from the literature to obtain a comprehensive set of well-validated antibodies.
- we limit citation information for polyclonal antibodies to articles published within the last 5 years because the supply of a particular polyclonal antibody preparation is limited.
product type
- Usp46 antibody
- Usp46 gene knockdown
- Usp46 cDNA
- Usp46 protein
- Usp46 other
linkout
questions and comments

