Your Filters
product
- domestic rabbit polyclonal
reactivity: human, mouse
application: western blot, immunohistochemistry, immunohistochemistry - paraffin section

Western Blot analysis of UPRT using anti-UPRT Polyclonal Antibody (PA5-31684), in A549 Cell Lysate (30 ug of cell lysate) and at a dilution of 1:500.
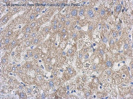
Immunohistochemical analysis of paraffin-embedded Hepatoma using UPRT (PA5-31684) antibody at 1:500 dilution.
quantity: 100 uL
price: US 464.00
to the supplier - mouse monoclonal (OTI2D1)
reactivity: human, mouse, rat
application: western blot, immunohistochemistry, immunohistochemistry - paraffin section - mouse monoclonal (OTI2D1)
reactivity: human, mouse, rat
application: western blot, immunohistochemistry, immunohistochemistry - paraffin section
gene information - mouse Uprt
- synonym:D830012I24Rik; Gm774
- description:uracil phosphoribosyltransferase
do you know?
- we limit the listing of re-branded antibodies to provide our visitors with accurate information and the best experience
- we manually curate antibody information from the literature to obtain a comprehensive set of well-validated antibodies.
- we limit citation information for polyclonal antibodies to articles published within the last 5 years because the supply of a particular polyclonal antibody preparation is limited.
product type
- Uprt antibody
- Uprt gene knockdown
- Uprt cDNA
- Uprt other
linkout
questions and comments


