Your Filters
product
- domestic rabbit polyclonal
reactivity: human, mouse
application: western blot, immunohistochemistry, immunocytochemistry, immunohistochemistry - paraffin section - domestic rabbit polyclonal
reactivity: human, mouse
application: western blot, immunohistochemistry, immunocytochemistry, immunohistochemistry - paraffin section

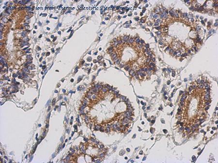
Immunohistochemical analysis of paraffin-embedded Gastric ca using TTLL10 (PA5-31631) antibody at 1:500 dilution.
Immunofluorescence analysis of methanol-fixed MCF-7 cells using TTLL10 (PA5-31631) antibody at 1:500 dilution.
Western Blot analysis of TTLL10 using anti-TTLL10 Polyclonal Antibody (PA5-31631), in NIH-3T3 Cell Lysate (30 ug of cell lysate) and at a dilution of 1:1000.
quantity: 100 uL
price: US 474.00
to the supplier
gene information - mouse Ttll10
- synonym:4833412E22Rik; 4930595O22Rik; AU022799; BC042775; Ttll5
- description:tubulin tyrosine ligase-like family, member 10
do you know?
- we limit the listing of re-branded antibodies to provide our visitors with accurate information and the best experience
- we manually curate antibody information from the literature to obtain a comprehensive set of well-validated antibodies.
- we limit citation information for polyclonal antibodies to articles published within the last 5 years because the supply of a particular polyclonal antibody preparation is limited.
product type
- Ttll10 antibody
- Ttll10 gene knockdown
- Ttll10 cDNA
- Ttll10 other
species
linkout
questions and comments


