Your Filters
product
- domestic rabbit polyclonal
reactivity: human, mouse, domestic horse
application: immunohistochemistry, immunohistochemistry - paraffin section

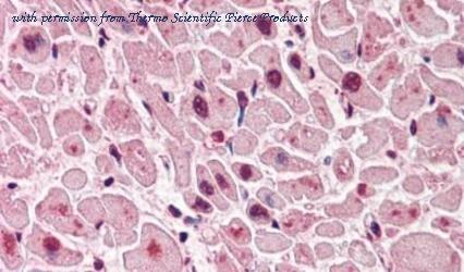
Immunohistochemistry staining of human adrenal tissue using anti-QSOX2 polyclonal antibody (PA5-33014). Immunohistochemistry of formalin-fixed, paraffin-embedded tissue after heat-induced antigen retrieval.
Immunohistochemistry staining of human heart tissue using anti-QSOX2 polyclonal antibody (PA5-33014). Immunohistochemistry of formalin-fixed, paraffin-embedded tissue after heat-induced antigen retrieval.
quantity: 50 ug
price: US 464.00
to the supplier - domestic rabbit polyclonal
reactivity: mouse
application: western blot - domestic rabbit polyclonal
reactivity: mouse
application: western blot, ELISA - domestic rabbit polyclonal
reactivity: mouse
application: western blot
gene information - mouse Qsox2
- synonym:BC030934; Qscn6l1; Soxn
- description:quiescin Q6 sulfhydryl oxidase 2
do you know?
- we limit the listing of re-branded antibodies to provide our visitors with accurate information and the best experience
- we manually curate antibody information from the literature to obtain a comprehensive set of well-validated antibodies.
- we limit citation information for polyclonal antibodies to articles published within the last 5 years because the supply of a particular polyclonal antibody preparation is limited.
product type
- Qsox2 antibody
- Qsox2 gene knockdown
- Qsox2 cDNA
- Qsox2 other
species
linkout
questions and comments

