Labome logo
home > mouse > mouse Ppp1r14d antibody | 1 product from 1 supplier
Your Filters
product
  • PPP1R14D antibody
    Proteintech Group
    catalog: 22080-1-AP
    domestic rabbit polyclonal
    reactivity: human, mouse
    application: western blot, ELISA

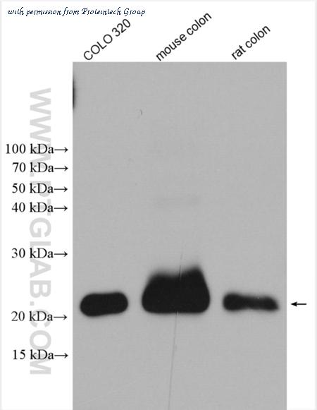
    The PPP1R14D antibody from Proteintech is a rabbit polyclonal antibody to a fusion protein of human PPP1R14D. This antibody recognizes human, mouse antigen. The PPP1R14D antibody has been validated for the following applications: WB, ELISA analysis.
    quantity: 150 ul
    price: USD299
    to the supplier
gene information - mouse Ppp1r14d
    • synonym:2010107K19Rik; GBPI-1; Ppp1r14
    • description:protein phosphatase 1, regulatory inhibitor subunit 14D
do you know?
  • we limit the listing of re-branded antibodies to provide our visitors with accurate information and the best experience
  • we manually curate antibody information from the literature to obtain a comprehensive set of well-validated antibodies.
  • we limit citation information for polyclonal antibodies to articles published within the last 5 years because the supply of a particular polyclonal antibody preparation is limited.
product type
  • Ppp1r14d antibody
  • Ppp1r14d gene knockdown
  • Ppp1r14d cDNA
  • Ppp1r14d other
species
  • human PPP1R14D antibody
linkout
  • ncbi
questions and comments

 
Labome.com © 2020 All Rights Reserved
last updated:2020-02-13