Your Filters
product
- domestic rabbit polyclonal
reactivity: human, mouse
application: western blot, immunohistochemistry, immunocytochemistry, immunohistochemistry - paraffin section
citations: 2

Immunofluorescence analysis of methanol-fixed Hep G2 cells using mtRNA polymerase (PA5-28196) antibody at 1:500 dilution.
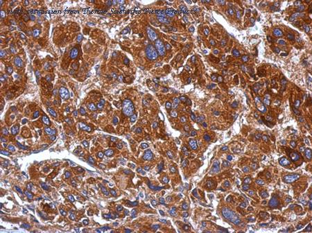
Immunohistochemical analysis of paraffin-embedded Hepatoma using mtRNA polymerase (PA5-28196) antibody at 1:500 dilution.
Western Blot analysis of mtRNA polymerase using anti-mtRNA polymerase Polyclonal Antibody (PA5-28196), in Hep G2 Cell Lysate (30 ug of cell lysate) and at a dilution of 1:1000.
quantity: 100 uL
price: US 470.00
to the supplier - domestic rabbit polyclonal
reactivity: human, mouse
application: western blot, immunohistochemistry, immunocytochemistry, immunohistochemistry - paraffin section - domestic rabbit polyclonal
reactivity: human, mouse, rat
application: western blot, ELISA, immunocytochemistry
gene information - mouse Polrmt
- synonym:1110018N15Rik; 4932416K13
- description:polymerase (RNA) mitochondrial (DNA directed)
do you know?
- we limit the listing of re-branded antibodies to provide our visitors with accurate information and the best experience
- we manually curate antibody information from the literature to obtain a comprehensive set of well-validated antibodies.
- we limit citation information for polyclonal antibodies to articles published within the last 5 years because the supply of a particular polyclonal antibody preparation is limited.
product type
- Polrmt antibody
- Polrmt gene knockdown
- Polrmt cDNA
- Polrmt other
linkout
questions and comments


