Your Filters
product
- domestic goat polyclonal
reactivity: mouse
application: western blot, immunohistochemistry, flow cytometry
citations: 2

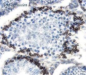
Endoglycan/PODXL2 antibody in Mouse Testis by Immunohistochemistry (IHC-Fr).
quantity: 100 ug (also 25 ug)
price: 469 USD
to the supplier - domestic goat polyclonal
reactivity: mouse
conjugate: biotin
application: western blot
gene information - mouse Podxl2
- synonym:D130074J02Rik; PODLX2
- description:podocalyxin-like 2
do you know?
- we limit the listing of re-branded antibodies to provide our visitors with accurate information and the best experience
- we manually curate antibody information from the literature to obtain a comprehensive set of well-validated antibodies.
- we limit citation information for polyclonal antibodies to articles published within the last 5 years because the supply of a particular polyclonal antibody preparation is limited.
product type
- Podxl2 antibody
- Podxl2 gene knockdown
- Podxl2 cDNA
- Podxl2 other
species
linkout
questions and comments

