Your Filters
product
- domestic rabbit polyclonal
reactivity: human, mouse, rat
application: western blot, ELISA, immunohistochemistry

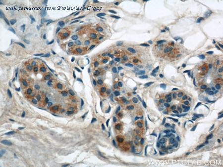
The KIAA1602 antibody from Proteintech is a rabbit polyclonal antibody to a fusion protein of human KIAA1602. This antibody recognizes human,mouse,rat antigen. The KIAA1602 antibody has been validated for the following applications: IHC, WB, ELISA analysis.
quantity: 150 ul
price: USD299
to the supplier
gene information - mouse Nckap5l
- synonym:C230021P08Rik; Cep169
- description:NCK-associated protein 5-like
do you know?
- we limit the listing of re-branded antibodies to provide our visitors with accurate information and the best experience
- we manually curate antibody information from the literature to obtain a comprehensive set of well-validated antibodies.
- we limit citation information for polyclonal antibodies to articles published within the last 5 years because the supply of a particular polyclonal antibody preparation is limited.
product type
- Nckap5l antibody
- Nckap5l gene knockdown
- Nckap5l cDNA
- Nckap5l other
linkout
questions and comments

