Your Filters
product
- domestic rabbit polyclonal
reactivity: human, mouse
application: western blot, immunohistochemistry, immunocytochemistry, immunohistochemistry - paraffin section
citations: 2

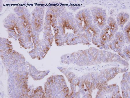
Immunohistochemical analysis of paraffin-embedded Colon ca using MAP7 (PA5-31782) antibody at 1:500 dilution.
Western Blot analysis of MAP7 using anti-MAP7 Polyclonal Antibody (PA5-31782), in A431 Cell Lysate (30 ug of cell lysate) and at a dilution of 1:1000.
quantity: 100 uL
price: US 464.00
to the supplier
gene information - mouse Map7
- synonym:E-MAP-115; MAP-7; Mtap7; R75000; mshi; mste; ste
- description:microtubule-associated protein 7
do you know?
- we limit the listing of re-branded antibodies to provide our visitors with accurate information and the best experience
- we manually curate antibody information from the literature to obtain a comprehensive set of well-validated antibodies.
- we limit citation information for polyclonal antibodies to articles published within the last 5 years because the supply of a particular polyclonal antibody preparation is limited.
product type
- Map7 antibody
- Map7 gene knockdown
- Map7 cDNA
- Map7 other
species
linkout
questions and comments

