Your Filters
product
- mouse monoclonal (G-12)
reactivity: human, mouse
application: western blot, ELISA, immunohistochemistry, immunocytochemistry, immunoprecipitation, immunohistochemistry - paraffin section
citations: 4 - mouse monoclonal (G-12)
reactivity: human, mouse
conjugate: agarose
application: immunoprecipitation - mouse monoclonal (G-12)
reactivity: human, mouse
conjugate: HRP
application: western blot, ELISA, immunohistochemistry, immunohistochemistry - paraffin section - domestic rabbit monoclonal (JE60-78)
reactivity: human, mouse, rat
application: western blot, immunohistochemistry - paraffin section

Western blot analysis of GBP1 on different lysates with Rabbit anti-GBP1 antibody (HA720049) at 1/2,000 dilution. Lane 1: HeLa cell lysate Lane 2: HeLa treated with 100ng/mL Human IFN gamma for 48 hours cell lysate Lane 3: HUVEC cell lysate Lysates/proteins at 20 µg/Lane. Predicted band size: 68 kDa Observed band size: 68 kDa Exposure time: 10 seconds; ECL: K1801; 4-20% SDS-PAGE gel. Proteins were transferred to a PVDF membrane and blocked with 5% NFDM/TBST for 1 hour at room temperature. The primary antibody (HA720049) at 1/2,000 dilution was used in primary antibody dilution (K1803) at 4℃ overnight. Goat Anti-Rabbit IgG - HRP Secondary Antibody (HA1001) at 1/50,000 dilution was used for 1 hour at room temperature.
Immunohistochemical analysis of paraffin-embedded human spleen tissue with Rabbit anti-GBP1 antibody (HA720049) at 1/1,000 dilution. The section was pre-treated using heat mediated antigen retrieval with Tris-EDTA buffer (pH 9.0) for 20 minutes. The tissues were blocked in 1% BSA for 20 minutes at room temperature, washed with ddH2O and PBS, and then probed with the primary antibody (HA720049) at 1/1,000 dilution for 1 hour at room temperature. The detection was performed using an HRP conjugated compact polymer system. DAB was used as the chromogen. Tissues were counterstained with hematoxylin and mounted with DPX.
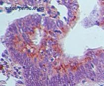
Immunohistochemical analysis of paraffin-embedded mouse spleen tissue with Rabbit anti-GBP1 antibody (HA720049) at 1/200 dilution. The section was pre-treated using heat mediated antigen retrieval with Tris-EDTA buffer (pH 9.0) for 20 minutes. The tissues were blocked in 1% BSA for 20 minutes at room temperature, washed with ddH2O and PBS, and then probed with the primary antibody (HA720049) at 1/200 dilution for 1 hour at room temperature. The detection was performed using an HRP conjugated compact polymer system. DAB was used as the chromogen. Tissues were counterstained with hematoxylin and mounted with DPX.
quantity: 100μl
price: 385.00 USD
to the supplier
gene information - mouse Gbp2b
- synonym:Gbp-1; Gbp1; Mag-1; Mpa-1; Mpa1
- description:guanylate binding protein 2b
do you know?
- we limit the listing of re-branded antibodies to provide our visitors with accurate information and the best experience
- we manually curate antibody information from the literature to obtain a comprehensive set of well-validated antibodies.
- we limit citation information for polyclonal antibodies to articles published within the last 5 years because the supply of a particular polyclonal antibody preparation is limited.
product type
- Gbp2b antibody
- Gbp2b gene knockdown
- Gbp2b cDNA
- Gbp2b other
species
questions and comments

