Your Filters
product
- domestic rabbit polyclonal
reactivity: human, mouse
application: western blot, immunohistochemistry, immunohistochemistry - paraffin section

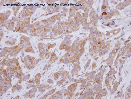
Immunohistochemical analysis of paraffin-embedded Breast ca using GEFT (PA5-31827) antibody at 1:250 dilution.
Western Blot analysis of GEFT using anti-GEFT Polyclonal Antibody (PA5-31827), in IMR32 Cell Lysate (30 ug of cell lysate) and at a dilution of 1:1000.
quantity: 100 uL
price: US 474.00
to the supplier - domestic rabbit polyclonal
reactivity: human, mouse, rat
application: western blot, immunohistochemistry, immunohistochemistry - paraffin section
gene information - mouse GEFT
- synonym:2410008H17Rik; D10Ertd610e; GEFT
- description:Rho guanine nucleotide exchange factor (GEF) 25
do you know?
- we limit the listing of re-branded antibodies to provide our visitors with accurate information and the best experience
- we manually curate antibody information from the literature to obtain a comprehensive set of well-validated antibodies.
- we limit citation information for polyclonal antibodies to articles published within the last 5 years because the supply of a particular polyclonal antibody preparation is limited.
product type
- GEFT antibody
- GEFT gene knockdown
- GEFT other
linkout
questions and comments

