Your Filters
product
- domestic rabbit polyclonal
reactivity: human, mouse
application: immunohistochemistry, immunohistochemistry - paraffin section

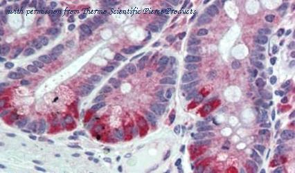
Immunohistochemistry staining of human small intestine tissue using Anti-ESYT1 / FAM62A antibody LS-A9546 polyclonal antibody (PA5-32763). Immunohistochemistry of formalin-fixed, paraffin-embedded tissue after heat-induced antigen retrieval.
Immunohistochemistry staining of human thyroid tissue using Anti-ESYT1 / FAM62A antibody LS-A9546 polyclonal antibody (PA5-32763). Immunohistochemistry of formalin-fixed, paraffin-embedded tissue after heat-induced antigen retrieval.
quantity: 50 ug
price: US 474.00
to the supplier - domestic rabbit polyclonal
reactivity: human, mouse, rat
application: western blot, ELISA, immunocytochemistry
gene information - mouse Esyt1
- synonym:Fam62a; Mbc2; vp115
- description:extended synaptotagmin-like protein 1
do you know?
- we limit the listing of re-branded antibodies to provide our visitors with accurate information and the best experience
- we manually curate antibody information from the literature to obtain a comprehensive set of well-validated antibodies.
- we limit citation information for polyclonal antibodies to articles published within the last 5 years because the supply of a particular polyclonal antibody preparation is limited.
product type
- Esyt1 antibody
- Esyt1 gene knockdown
- Esyt1 cDNA
- Esyt1 other
linkout
questions and comments

