Your Filters
product
- domestic rabbit polyclonal
reactivity: human, mouse
application: western blot, immunohistochemistry, immunocytochemistry, immunohistochemistry - paraffin section

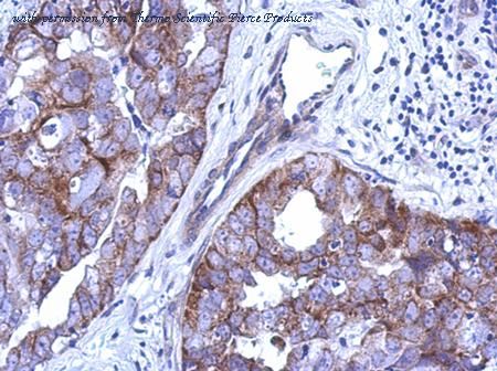
Immunohistochemical analysis of paraffin-embedded BREAST CA using CABC1 (PA5-29125) antibody at 1:500 dilution.
Western Blot analysis of CABC1 using anti-CABC1 Polyclonal Antibody (PA5-29125), in IMR32 Cell Lysate (30 ug of cell lysate) and at a dilution of 1:1000.
Western Blot analysis of CABC1 using anti-CABC1 Polyclonal Antibody (PA5-29125), in Mouse Heart (50 ug of cell lysate) and at a dilution of 1:1000.
quantity: 100 uL
price: US 470.00
to the supplier - domestic rabbit polyclonal
reactivity: human, mouse, rat
application: western blot - domestic rabbit polyclonal
reactivity: human, mouse, rat
application: western blot, immunohistochemistry, immunocytochemistry, immunohistochemistry - paraffin section - domestic rabbit polyclonal
reactivity: human, mouse
application: western blot, immunohistochemistry, immunocytochemistry, immunohistochemistry - paraffin section
gene information - mouse Coq8a
- synonym:4632432J16Rik; AI462003; Adck3; Cabc1; mKIAA0451
- description:coenzyme Q8A
do you know?
- we limit the listing of re-branded antibodies to provide our visitors with accurate information and the best experience
- we manually curate antibody information from the literature to obtain a comprehensive set of well-validated antibodies.
- we limit citation information for polyclonal antibodies to articles published within the last 5 years because the supply of a particular polyclonal antibody preparation is limited.
product type
- Coq8a antibody
- Coq8a gene knockdown
- Coq8a other
questions and comments


