Your Filters
product
- domestic rabbit polyclonal
reactivity: human, mouse
application: western blot, immunohistochemistry, immunohistochemistry - paraffin section

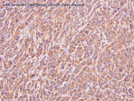
Immunohistochemical analysis of paraffin-embedded SAS xenograft using ART5 (PA5-28544) antibody at 1:500 dilution.
Western Blot analysis using anti-ART5 Polyclonal Antibody on the following cells: (30 ug of whole cell lysate) A: 293T B: A431 cell lysate cell lysate. Primary antibody (PA5-28544) diluted at 1:1000
quantity: 100 uL
price: US 464.00
to the supplier - domestic rabbit polyclonal
reactivity: human, mouse, rat
application: western blot - domestic rabbit polyclonal
reactivity: human, mouse, rat
application: western blot, ELISA
gene information - mouse Art5
- synonym:ARTC5; Yac-2
- description:ADP-ribosyltransferase 5
do you know?
- we limit the listing of re-branded antibodies to provide our visitors with accurate information and the best experience
- we manually curate antibody information from the literature to obtain a comprehensive set of well-validated antibodies.
- we limit citation information for polyclonal antibodies to articles published within the last 5 years because the supply of a particular polyclonal antibody preparation is limited.
product type
- Art5 antibody
- Art5 gene knockdown
- Art5 cDNA
- Art5 other
linkout
questions and comments

