Your Filters
	product
- mouse monoclonal (17G10)
 reactivity: human, mouse
 application: immunohistochemistry, immunocytochemistry, immunoprecipitation, immunohistochemistry - paraffin section   
 Immunofluorescent analysis of AKAP450 in NIH-3T3 cells. Cells were grown on chamber slides and fixed with formaldehyde prior to staining. Cells were probed without (control) or with a AKAP450 monoclonal antibody (Product # MA1-803) at a dilution of 1:100 overnight at 4 C, washed with PBS and incubated with a DyLight-488 conjugated secondary antibody (Product # 35503). AKAP450 staining (green), F-Actin staining with Phalloidin (red) and nuclei with DAPI (blue) is shown. Images were taken at 60X magnification. 
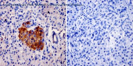
 Immunohistochemistry was performed on normal biopsies of deparaffinized Human pancreas tissue. To expose target proteins, heat induced antigen retrieval was performed using 10mM sodium citrate (pH6.0) buffer, microwaved for 8-15 minutes. Following antigen retrieval tissues were blocked in 3% BSA-PBS for 30 minutes at room temperature and probed with a AKAP450 monoclonal antibody (Product # MA1-803) at a dilution of 1:20 or without primary antibody (negative control) overnight at 4°C in a humidified chamber. Tissues were washed with PBST and endogenous peroxidase activity was quenched with a peroxidase suppressor. Detection was performed using a biotin-conjugated secondary antibody and SA-HRP, followed by colorimetric detection using DAB. Tissues were counterstained with hematoxylin and prepped for mounting. 
 Immunofluorescent analysis of AKAP450 in A431 cells. Cells were grown on chamber slides and fixed with formaldehyde prior to staining. Cells were probed without (control) or with a AKAP450 monoclonal antibody (Product # MA1-803) at a dilution of 1:100 overnight at 4 C, washed with PBS and incubated with a DyLight-488 conjugated secondary antibody (Product # 35503). AKAP450 staining (green), F-Actin staining with Phalloidin (red) and nuclei with DAPI (blue) is shown. Images were taken at 60X magnification.
 quantity: 100 ug
 price: US 471.00
 to the supplier
- domestic rabbit polyclonal
 reactivity: mouse, rat
 application: western blot
gene information - mouse Akap9
- synonym:5730481H23Rik; AKAP-9; AKAP450; AW545847; C79026; G1-448-15; PRKA9; mKIAA0803; mei2-5; repro12
- description:A kinase (PRKA) anchor protein (yotiao) 9
 
do you know?
- we limit the listing of re-branded antibodies to provide our visitors with accurate information and the best experience
- we manually curate antibody information from the literature to obtain a comprehensive set of well-validated antibodies.
- we limit citation information for polyclonal antibodies to articles published within the last 5 years because the supply of a particular polyclonal antibody preparation is limited.
product type
- Akap9 antibody
- Akap9 gene knockdown
- Akap9 cDNA
- Akap9 other
species
linkout
questions and comments

