Your Filters
product
Filters
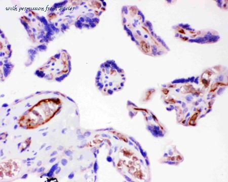
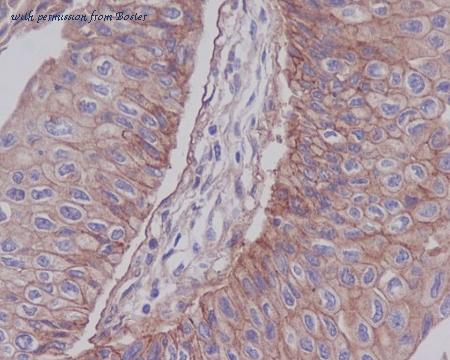
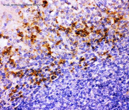
gene information - man beta1 integrin
- synonym:CD29; FNRB; GPIIA; MDF2; MSK12; VLA-BETA; VLAB
- description:integrin subunit beta 1
do you know?
- we limit the listing of re-branded antibodies to provide our visitors with accurate information and the best experience
- we manually curate antibody information from the literature to obtain a comprehensive set of well-validated antibodies.
- we limit citation information for polyclonal antibodies to articles published within the last 5 years because the supply of a particular polyclonal antibody preparation is limited.
Article
product type
species
related gene
questions and comments
