Your Filters
product
Filters
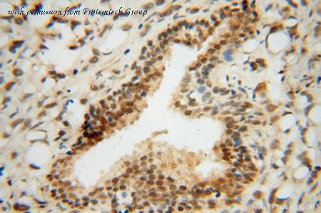
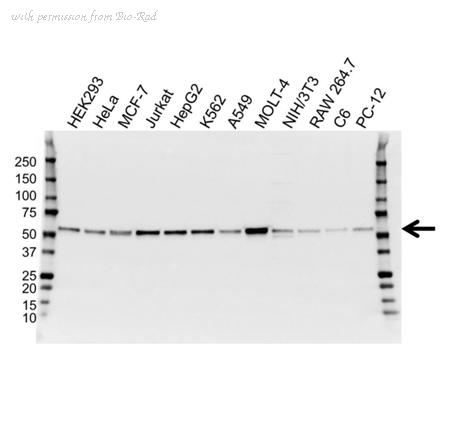
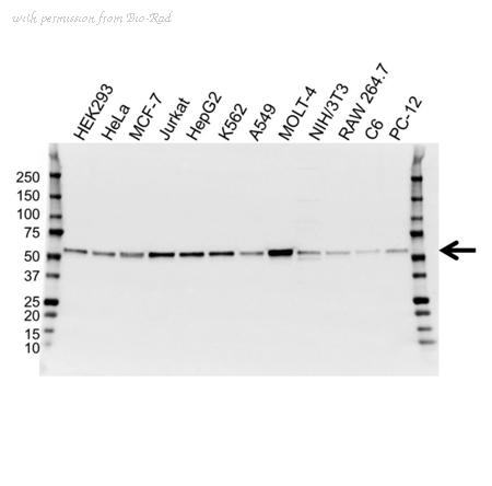
gene information - man RING1
- synonym:RING1A; RNF1
- description:ring finger protein 1
do you know?
- we limit the listing of re-branded antibodies to provide our visitors with accurate information and the best experience
- we manually curate antibody information from the literature to obtain a comprehensive set of well-validated antibodies.
- we limit citation information for polyclonal antibodies to articles published within the last 5 years because the supply of a particular polyclonal antibody preparation is limited.
product type
- RING1 antibody
- RING1 gene knockdown
- RING1 cDNA
- RING1 protein
- RING1 other
questions and comments
