Your Filters
product
Filters
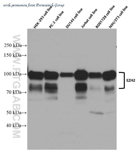
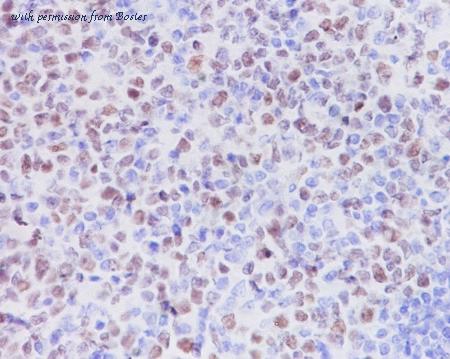
gene information - man Ezh2
- synonym:ENX-1; ENX1; EZH2b; KMT6; KMT6A; WVS; WVS2
- description:enhancer of zeste 2 polycomb repressive complex 2 subunit
do you know?
- we limit the listing of re-branded antibodies to provide our visitors with accurate information and the best experience
- we manually curate antibody information from the literature to obtain a comprehensive set of well-validated antibodies.
- we limit citation information for polyclonal antibodies to articles published within the last 5 years because the supply of a particular polyclonal antibody preparation is limited.
Article
product type
species
questions and comments
