Your Filters
product
Filters
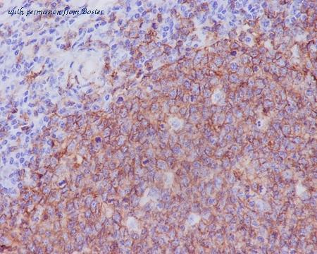
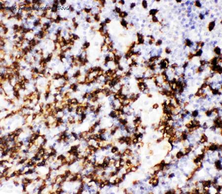
gene information - man CD20
- synonym:B1; Bp35; CD20; CVID5; LEU-16; MS4A2; S7
- description:membrane spanning 4-domains A1
do you know?
- we limit the listing of re-branded antibodies to provide our visitors with accurate information and the best experience
- we manually curate antibody information from the literature to obtain a comprehensive set of well-validated antibodies.
- we limit citation information for polyclonal antibodies to articles published within the last 5 years because the supply of a particular polyclonal antibody preparation is limited.
product type
species
questions and comments
