Your Filters
product
- mouse monoclonal (F-9)
reactivity: human
application: western blot, ELISA, immunocytochemistry, immunoprecipitation - mouse monoclonal (F-9)
reactivity: human
conjugate: agarose
application: immunoprecipitation - mouse monoclonal (F-9)
reactivity: human
conjugate: HRP
application: western blot, ELISA, immunohistochemistry, immunohistochemistry - paraffin section - domestic rabbit polyclonal
reactivity: human
application: immunohistochemistry, immunohistochemistry - paraffin section

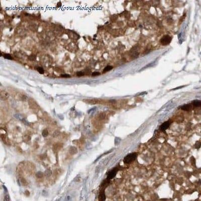
Immunohistochemistry-Paraffin: RBKS Antibody [NBP1-84115] - Staining of human testis.
quantity: 0.1 ml (also 25 ul)
price: 499 USD
to the supplier - domestic rabbit polyclonal (JF098-6)
reactivity: human
application: western blot, immunohistochemistry, immunocytochemistry, immunohistochemistry - paraffin section
gene information - human ribokinase
- synonym:RBSK; RK
- description:ribokinase
do you know?
- we limit the listing of re-branded antibodies to provide our visitors with accurate information and the best experience
- we manually curate antibody information from the literature to obtain a comprehensive set of well-validated antibodies.
- we limit citation information for polyclonal antibodies to articles published within the last 5 years because the supply of a particular polyclonal antibody preparation is limited.
product type
- ribokinase antibody
- ribokinase gene knockdown
- ribokinase cDNA
- ribokinase protein
- ribokinase other
linkout
questions and comments

