Your Filters
product
- domestic rabbit polyclonal
reactivity: human
application: western blot, immunohistochemistry, immunohistochemistry - paraffin section

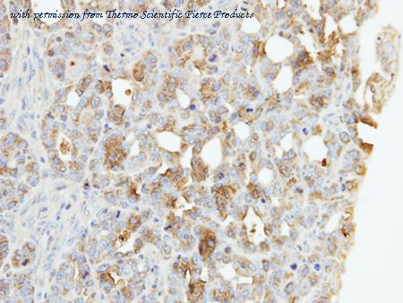
Immunohistochemical analysis of paraffin-embedded NCI-N87 xenograft using ZNF223 (PA5-28894) antibody at 1:500 dilution.
Western Blot analysis of ZNF223 using anti-ZNF223 Polyclonal Antibody (PA5-28894), in Hela Cell Lysate (30 ug of cell lysate) and at a dilution of 1:5000.
quantity: 100 uL
price: US 464.00
to the supplier - domestic rabbit polyclonal
reactivity: human
application: western blot, immunohistochemistry - domestic rabbit polyclonal
reactivity: human
application: immunocytochemistry
gene information - human ZNF223
- description:zinc finger protein 223
do you know?
- we limit the listing of re-branded antibodies to provide our visitors with accurate information and the best experience
- we manually curate antibody information from the literature to obtain a comprehensive set of well-validated antibodies.
- we limit citation information for polyclonal antibodies to articles published within the last 5 years because the supply of a particular polyclonal antibody preparation is limited.
product type
- ZNF223 antibody
- ZNF223 gene knockdown
- ZNF223 cDNA
- ZNF223 protein
- ZNF223 other
linkout
questions and comments

