Your Filters
product
Filters
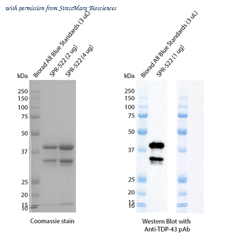
gene information - human TDP 43
- synonym:ALS10; TDP-43
- description:TAR DNA binding protein
do you know?
- we limit the listing of re-branded antibodies to provide our visitors with accurate information and the best experience
- we manually curate antibody information from the literature to obtain a comprehensive set of well-validated antibodies.
- we limit citation information for polyclonal antibodies to articles published within the last 5 years because the supply of a particular polyclonal antibody preparation is limited.
Article
product type
questions and comments
