Your Filters
product
Filters
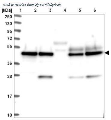
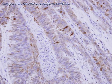
gene information - human SNX15
- synonym:HSAF001435
- description:sorting nexin 15
do you know?
- we limit the listing of re-branded antibodies to provide our visitors with accurate information and the best experience
- we manually curate antibody information from the literature to obtain a comprehensive set of well-validated antibodies.
- we limit citation information for polyclonal antibodies to articles published within the last 5 years because the supply of a particular polyclonal antibody preparation is limited.
product type
- SNX15 antibody
- SNX15 gene knockdown
- SNX15 cDNA
- SNX15 protein
- SNX15 other
linkout
questions and comments
