Your Filters
product
- domestic rabbit polyclonal
reactivity: human
application: western blot, immunohistochemistry, immunocytochemistry, immunohistochemistry - paraffin section
citations: 1 - domestic rabbit polyclonal
reactivity: human, mouse
application: western blot, immunocytochemistry - domestic rabbit polyclonal
reactivity: human
application: western blot, immunohistochemistry, immunocytochemistry, immunohistochemistry - paraffin section

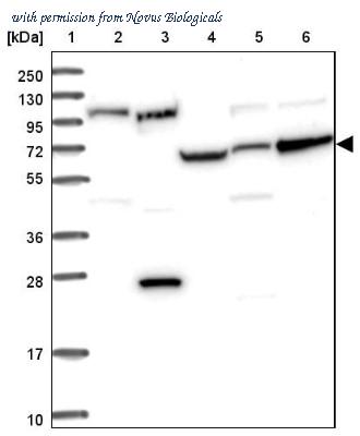
Western Blot: RPAP2 Antibody [NBP2-13248] - Lane 1: Marker [kDa] 250, 130, 95, 72, 55, 36, 28, 17, 10. Lane 2: Human cell line RT-4. Lane 3: Human cell line U-251MG sp. Lane 4: Human plasma (IgG/HSA depleted). Lane 5: Human liver tissue. Lane 6: Human tonsil tissue
quantity: 0.1 ml (also 25 ul)
price: 499 USD
to the supplier
gene information - human RPAP2
- synonym:C1orf82; Rtr1
- description:RNA polymerase II associated protein 2
do you know?
- we limit the listing of re-branded antibodies to provide our visitors with accurate information and the best experience
- we manually curate antibody information from the literature to obtain a comprehensive set of well-validated antibodies.
- we limit citation information for polyclonal antibodies to articles published within the last 5 years because the supply of a particular polyclonal antibody preparation is limited.
product type
- RPAP2 antibody
- RPAP2 gene knockdown
- RPAP2 cDNA
- RPAP2 protein
- RPAP2 other
species
linkout
questions and comments

