Your Filters
product
Filters
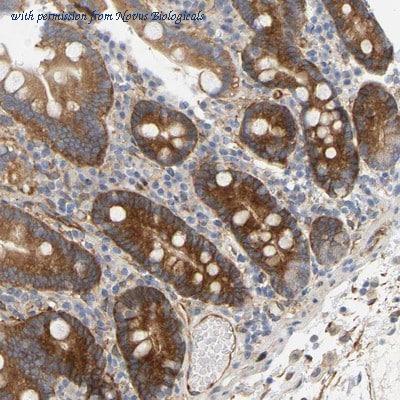
gene information - human RAPH1
- synonym:ALS2CR18; ALS2CR9; LPD; PREL-2; PREL2; RMO1; RalGDS/AF-6
- description:Ras association (RalGDS/AF-6) and pleckstrin homology domains 1
do you know?
- we limit the listing of re-branded antibodies to provide our visitors with accurate information and the best experience
- we manually curate antibody information from the literature to obtain a comprehensive set of well-validated antibodies.
- we limit citation information for polyclonal antibodies to articles published within the last 5 years because the supply of a particular polyclonal antibody preparation is limited.
product type
- RAPH1 antibody
- RAPH1 gene knockdown
- RAPH1 cDNA
- RAPH1 protein
- RAPH1 other
questions and comments
