Your Filters
product
- mouse monoclonal (165903)
reactivity: human
conjugate: PE
application: immunocytochemistry, neutralization, flow cytometry, FACS
citations: 34

Detection of ULBP-2/5/6 in HT1080 Human Cell Line by Flow Cytometry.
quantity: 100 Tests
price: 479 USD
to the supplier - domestic goat polyclonal
reactivity: human
application: western blot, immunohistochemistry, immunocytochemistry, immunoprecipitation, flow cytometry, immunohistochemistry - paraffin section
citations: 6

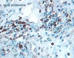
ULBP-2/5/6 in Human Colon Cancer Tissue. ULBP-2/5/6 was detected in immersion fixed paraffin-embedded sections of human colon cancer tissue using 10 ╡g/mL Goat Anti-Human ULBP-2/5/6 Antigen Affinity-purified Polyclonal Antibody (Catalog # AF1298) overnight at 4 ░C. Before incubation with the primary antibody tissue was subjected to heat-induced epitope retrieval using Antigen Retrieval Reagent-Basic (Catalog # CTS013 ). Tissue was stained with the Anti-Goat HRP-DAB Cell Tissue Staining Kit (brown; Catalog # CTS008 ) and counterstained with hematoxylin (blue). View our protocol for Chromogenic IHC Staining of Paraffin-embedded Tissue Sections .
quantity: 100 ug (also 25 ug)
price: 519 USD
to the supplier - mouse monoclonal (6D10)
reactivity: human
application: immunocytochemistry, flow cytometry
citations: 1 - mouse monoclonal (6D10)
reactivity: human
application: immunocytochemistry, flow cytometry
citations: 1 - domestic rabbit polyclonal
reactivity: human
application: western blot
gene information - human RAET1G
- synonym:ULBP5
- description:retinoic acid early transcript 1G
do you know?
- we limit the listing of re-branded antibodies to provide our visitors with accurate information and the best experience
- we manually curate antibody information from the literature to obtain a comprehensive set of well-validated antibodies.
- we limit citation information for polyclonal antibodies to articles published within the last 5 years because the supply of a particular polyclonal antibody preparation is limited.
product type
questions and comments

