Your Filters
product
- domestic rabbit polyclonal
reactivity: human
application: western blot - domestic rabbit polyclonal
reactivity: human
application: western blot, immunohistochemistry, immunocytochemistry, immunohistochemistry - paraffin section - domestic rabbit polyclonal
reactivity: human
application: western blot, immunohistochemistry, immunohistochemistry - paraffin section

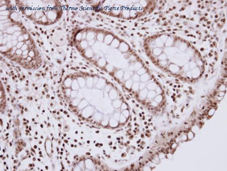
Immunohistochemical analysis of paraffin-embedded Colon ca using R3HDM2 (PA5-31945) antibody at 1:250 dilution.
Western Blot analysis of R3HDM2 using anti-R3HDM2 Polyclonal Antibody (PA5-31945), in Jurkat Cell Lysate (30 ug of cell lysate) and at a dilution of 1:1000.
quantity: 100 uL
price: US 464.00
to the supplier - domestic rabbit polyclonal
reactivity: human
application: immunohistochemistry, immunocytochemistry, immunohistochemistry - paraffin section - domestic rabbit polyclonal
reactivity: human
application: western blot, immunohistochemistry, immunocytochemistry, immunohistochemistry - paraffin section
gene information - human R3HDM2
- synonym:CAG6; PR01365
- description:R3H domain containing 2
do you know?
- we limit the listing of re-branded antibodies to provide our visitors with accurate information and the best experience
- we manually curate antibody information from the literature to obtain a comprehensive set of well-validated antibodies.
- we limit citation information for polyclonal antibodies to articles published within the last 5 years because the supply of a particular polyclonal antibody preparation is limited.
product type
- R3HDM2 antibody
- R3HDM2 gene knockdown
- R3HDM2 cDNA
- R3HDM2 protein
- R3HDM2 other
linkout
questions and comments


