Your Filters
product
- domestic rabbit polyclonal
reactivity: human
application: immunohistochemistry - paraffin section - domestic rabbit polyclonal
reactivity: human
application: immunohistochemistry, immunohistochemistry - paraffin section

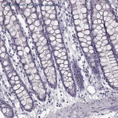
Immunohistochemistry-Paraffin: SPAG17 Antibody [NBP1-93841] - Staining of human colon shows no positivity in glandular cells as expected.
quantity: 0.1 ml (also 25 ul)
price: 529 USD
to the supplier - domestic rabbit polyclonal
reactivity: human
application: immunohistochemistry, immunohistochemistry - paraffin section
gene information - human PF6
- synonym:CT143; PF6
- description:sperm associated antigen 17
do you know?
- we limit the listing of re-branded antibodies to provide our visitors with accurate information and the best experience
- we manually curate antibody information from the literature to obtain a comprehensive set of well-validated antibodies.
- we limit citation information for polyclonal antibodies to articles published within the last 5 years because the supply of a particular polyclonal antibody preparation is limited.
product type
- PF6 antibody
- PF6 gene knockdown
- PF6 cDNA
- PF6 other
linkout
questions and comments


