Your Filters
product
- mouse monoclonal (2C1/E7)
reactivity: human, mouse
application: western blot, ELISA, immunocytochemistry, immunoprecipitation - mouse monoclonal (2C1/E7)
reactivity: human, mouse
conjugate: agarose
application: immunoprecipitation - mouse monoclonal (2C1/E7)
reactivity: human, mouse
conjugate: HRP
application: western blot, ELISA, immunohistochemistry, immunohistochemistry - paraffin section - domestic rabbit polyclonal
reactivity: human
application: western blot, immunohistochemistry, immunohistochemistry - paraffin section

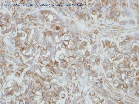
Immunohistochemical analysis of paraffin-embedded H661 xenograft using PCDHA3 (PA5-31297) antibody at 1:100 dilution.
Western Blot analysis of PCDHA3 using anti-PCDHA3 Polyclonal Antibody (PA5-31297), in MCF-7 Cell Lysate (30 ug of cell lysate) and at a dilution of 1:1000.
quantity: 100 uL
price: US 464.00
to the supplier - domestic rabbit polyclonal
reactivity: human
application: immunohistochemistry, immunohistochemistry - paraffin section
gene information - human PCDHA3
- synonym:PCDH-ALPHA3
- description:protocadherin alpha 3
do you know?
- we limit the listing of re-branded antibodies to provide our visitors with accurate information and the best experience
- we manually curate antibody information from the literature to obtain a comprehensive set of well-validated antibodies.
- we limit citation information for polyclonal antibodies to articles published within the last 5 years because the supply of a particular polyclonal antibody preparation is limited.
product type
- PCDHA3 antibody
- PCDHA3 gene knockdown
- PCDHA3 cDNA
- PCDHA3 protein
- PCDHA3 other
species
linkout
questions and comments

