Your Filters
product
Filters
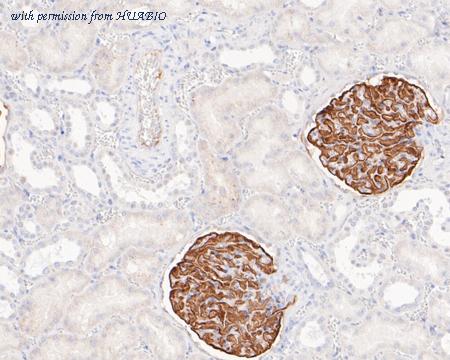
gene information - human NPHS2
- synonym:PDCN; SRN1
- description:NPHS2 stomatin family member, podocin
do you know?
- we limit the listing of re-branded antibodies to provide our visitors with accurate information and the best experience
- we manually curate antibody information from the literature to obtain a comprehensive set of well-validated antibodies.
- we limit citation information for polyclonal antibodies to articles published within the last 5 years because the supply of a particular polyclonal antibody preparation is limited.
product type
questions and comments
