Your Filters
product
Filters
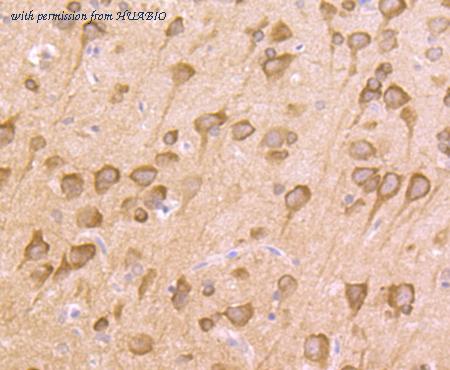
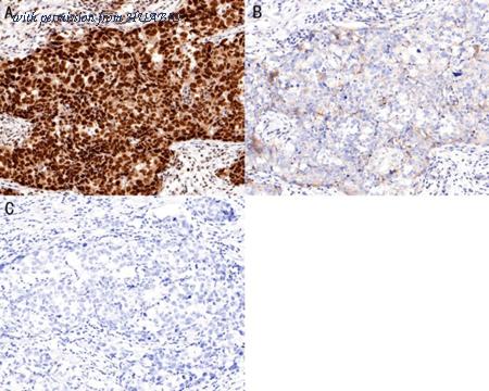
gene information - human NFE2L2
- synonym:HEBP1; IMDDHH; NRF2; Nrf-2
- description:nuclear factor, erythroid 2 like 2
do you know?
- we limit the listing of re-branded antibodies to provide our visitors with accurate information and the best experience
- we manually curate antibody information from the literature to obtain a comprehensive set of well-validated antibodies.
- we limit citation information for polyclonal antibodies to articles published within the last 5 years because the supply of a particular polyclonal antibody preparation is limited.
product type
questions and comments
