Your Filters
product
- domestic rabbit polyclonal
reactivity: human
application: western blot, immunohistochemistry, immunohistochemistry - paraffin section

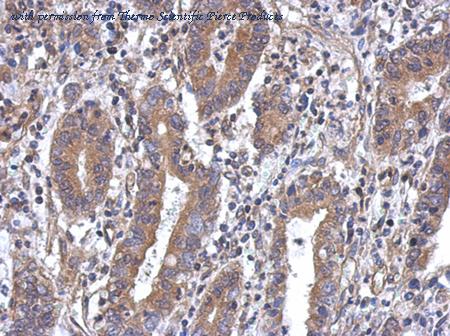
Immunohistochemical analysis of paraffin-embedded Colon ca using MTG1 (PA5-31590) antibody at 1:500 dilution.
Western Blot analysis of MTG1 using anti-MTG1 Polyclonal Antibody (PA5-31590), in Jurkat Cell Lysate (30 ug of cell lysate) and at a dilution of 1:5000.
quantity: 100 uL
price: US 464.00
to the supplier - domestic rabbit polyclonal
reactivity: human
application: immunohistochemistry, immunohistochemistry - paraffin section - domestic rabbit polyclonal
reactivity: human
application: immunohistochemistry, immunohistochemistry - paraffin section
gene information - human MTG1
- synonym:GTP; GTPBP7
- description:mitochondrial ribosome associated GTPase 1
do you know?
- we limit the listing of re-branded antibodies to provide our visitors with accurate information and the best experience
- we manually curate antibody information from the literature to obtain a comprehensive set of well-validated antibodies.
- we limit citation information for polyclonal antibodies to articles published within the last 5 years because the supply of a particular polyclonal antibody preparation is limited.
product type
- MTG1 antibody
- MTG1 gene knockdown
- MTG1 cDNA
- MTG1 protein
- MTG1 other
linkout
questions and comments

