Your Filters
product
- domestic rabbit polyclonal
reactivity: human
application: immunohistochemistry, immunocytochemistry, immunohistochemistry - paraffin section
citations: 4

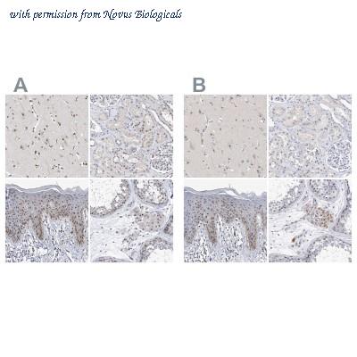
Immunohistochemistry-Paraffin: MPHOSPH10 Antibody [NBP1-84341] - Staining of human cerebral cortex, kidney, skin and testis using Anti-MPHOSPH10 antibody NBP1-84341 (A) shows similar protein distribution across tissues to independent antibody NBP2-38232 (B).
quantity: 0.1 ml (also 25 ul)
price: 529 USD
to the supplier - domestic rabbit polyclonal
reactivity: human
application: immunohistochemistry, immunocytochemistry, immunohistochemistry - paraffin section - domestic rabbit polyclonal
reactivity: human
application: immunocytochemistry, immunohistochemistry - paraffin section - mouse monoclonal (TJ-1)
reactivity: human, mouse
application: western blot, ELISA, immunocytochemistry, immunoprecipitation
gene information - human MPHOSPH10
- synonym:CT90; MPP10; MPP10P; PPP1R106
- description:M-phase phosphoprotein 10
do you know?
- we limit the listing of re-branded antibodies to provide our visitors with accurate information and the best experience
- we manually curate antibody information from the literature to obtain a comprehensive set of well-validated antibodies.
- we limit citation information for polyclonal antibodies to articles published within the last 5 years because the supply of a particular polyclonal antibody preparation is limited.
product type
- MPHOSPH10 antibody
- MPHOSPH10 gene knockdown
- MPHOSPH10 cDNA
- MPHOSPH10 other
species
linkout
questions and comments


