Your Filters
product
- domestic rabbit polyclonal
reactivity: human
application: western blot, immunohistochemistry, immunohistochemistry - paraffin section
citations: 1

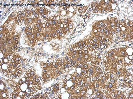
Immunohistochemical analysis of paraffin-embedded Hepatoma using Lipocalin 15 (PA5-31997) antibody at 1:500 dilution.
Western Blot analysis of Lipocalin 15 using anti-Lipocalin 15 Polyclonal Antibody (PA5-31997), in PC-3 Cell Lysate (30 ug of cell lysate) and at a dilution of 1:1000.
quantity: 100 uL
price: US 454.00
to the supplier - domestic rabbit polyclonal
reactivity: human
application: immunohistochemistry, immunohistochemistry - paraffin section
gene information - human LCN15
- synonym:PRO6093; UNQ2541
- description:lipocalin 15
do you know?
- we limit the listing of re-branded antibodies to provide our visitors with accurate information and the best experience
- we manually curate antibody information from the literature to obtain a comprehensive set of well-validated antibodies.
- we limit citation information for polyclonal antibodies to articles published within the last 5 years because the supply of a particular polyclonal antibody preparation is limited.
product type
- LCN15 antibody
- LCN15 gene knockdown
- LCN15 cDNA
- LCN15 protein
- LCN15 other
linkout
questions and comments

