Your Filters
product
- domestic rabbit polyclonal
reactivity: human
application: western blot - domestic rabbit polyclonal
reactivity: human
application: western blot, immunohistochemistry, immunohistochemistry - paraffin section

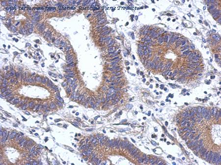
Immunohistochemical analysis of paraffin-embedded Colon ca using ENTPD7 (PA5-31733) antibody at 1:500 dilution.
Western Blot analysis of ENTPD7 using anti-ENTPD7 Polyclonal Antibody (PA5-31733), in NT2D1 Cell Lysate (30 ug of cell lysate) and at a dilution of 1:1000.
quantity: 100 uL
price: US 464.00
to the supplier - domestic rabbit polyclonal
reactivity: human
application: western blot - domestic rabbit polyclonal
reactivity: human
application: immunohistochemistry, immunohistochemistry - paraffin section
gene information - human LALP1
- synonym:LALP1
- description:ectonucleoside triphosphate diphosphohydrolase 7
do you know?
- we limit the listing of re-branded antibodies to provide our visitors with accurate information and the best experience
- we manually curate antibody information from the literature to obtain a comprehensive set of well-validated antibodies.
- we limit citation information for polyclonal antibodies to articles published within the last 5 years because the supply of a particular polyclonal antibody preparation is limited.
product type
- LALP1 antibody
- LALP1 gene knockdown
- LALP1 cDNA
- LALP1 protein
- LALP1 other
species
related gene
linkout
questions and comments

