Your Filters
product
- domestic rabbit polyclonal
reactivity: human
application: western blot, ELISA - mouse monoclonal (901258)
reactivity: human
application: western blot, immunocytochemistry

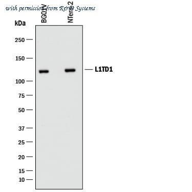
Detection of Human L1TD1 antibody by Western Blot.
quantity: 100 ug (also 25 ug)
price: 439 USD
to the supplier - domestic rabbit polyclonal (polyclonal)
reactivity: human
application: western blot - chicken polyclonal
reactivity: human
application: western blot, ELISA, enzyme immunoassay

Western Blot using MBS622333 shows detection of induced bacterially expressed human ORF2 (left lane). No specific band staining is seen in the uninduced lane (right lane). The lower molecular weight bands represent non-specific staining. The band at ~70kD corresponds to a human L1/ORF2 EN domain fusion protein (arrowhead).
quantity: 0.1 mg
price:
to the supplier
gene information - human L1TD1
- synonym:ECAT11
- description:LINE1 type transposase domain containing 1
do you know?
- we limit the listing of re-branded antibodies to provide our visitors with accurate information and the best experience
- we manually curate antibody information from the literature to obtain a comprehensive set of well-validated antibodies.
- we limit citation information for polyclonal antibodies to articles published within the last 5 years because the supply of a particular polyclonal antibody preparation is limited.
product type
- L1TD1 antibody
- L1TD1 gene knockdown
- L1TD1 cDNA
- L1TD1 other
linkout
questions and comments

