Your Filters
product
- domestic rabbit polyclonal
reactivity: human
application: ELISA, immunocytochemistry, enzyme immunoassay - domestic rabbit monoclonal
reactivity: human
application: western blot - domestic rabbit monoclonal
reactivity: human
application: western blot - mouse monoclonal (991620)
reactivity: human
application: immunohistochemistry

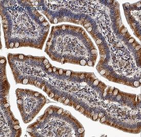
IFN-?4 antibody in Human Small Intestine by Immunohistochemistry (IHC-P).
quantity: 100 ug (also 25 ug)
price: 429 USD
to the supplier
gene information - human IFNL4
- synonym:IFNAN
- description:interferon lambda 4 (gene/pseudogene)
do you know?
- we limit the listing of re-branded antibodies to provide our visitors with accurate information and the best experience
- we manually curate antibody information from the literature to obtain a comprehensive set of well-validated antibodies.
- we limit citation information for polyclonal antibodies to articles published within the last 5 years because the supply of a particular polyclonal antibody preparation is limited.
product type
- IFNL4 antibody
- IFNL4 protein
linkout
questions and comments


