Your Filters
product
- mouse monoclonal (983338)
reactivity: human
application: ELISA, immunohistochemistry
citations: 2

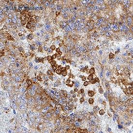
IFN-epsilon antibody in Human Endometrial Cancer Tissue by Immunohistochemistry (IHC-P).
quantity: 100 ug (also 25 ug)
price: 439 USD
to the supplier - mouse monoclonal (995728)
reactivity: human
application: immunocytochemistry

IFN-epsilon antibody in HeLa Human Cell Line by Immunocytochemistry (ICC).
quantity: 100 ug (also 25 ug)
price: 429 USD
to the supplier - mouse monoclonal (983303)
reactivity: human
application: ELISA - domestic rabbit polyclonal
reactivity: human
application: western blot
gene information - human IFNE
- synonym:IFN-E; IFNE1; IFNT1; INFE1; PRO655
- description:interferon epsilon
do you know?
- we limit the listing of re-branded antibodies to provide our visitors with accurate information and the best experience
- we manually curate antibody information from the literature to obtain a comprehensive set of well-validated antibodies.
- we limit citation information for polyclonal antibodies to articles published within the last 5 years because the supply of a particular polyclonal antibody preparation is limited.
product type
linkout
questions and comments

