Your Filters
product
- domestic rabbit polyclonal
reactivity: human
application: western blot - domestic rabbit monoclonal (001)
reactivity: human
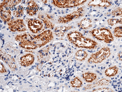
application: immunohistochemistry - paraffin section - domestic rabbit monoclonal (002)
reactivity: human
application: ELISA
gene information - human IFI6
- synonym:6-16; FAM14C; G1P3; IFI-6-16; IFI616
- description:interferon alpha inducible protein 6
do you know?
- we limit the listing of re-branded antibodies to provide our visitors with accurate information and the best experience
- we manually curate antibody information from the literature to obtain a comprehensive set of well-validated antibodies.
- we limit citation information for polyclonal antibodies to articles published within the last 5 years because the supply of a particular polyclonal antibody preparation is limited.
product type
linkout
questions and comments



